Markham Street Dental

Orthodontics

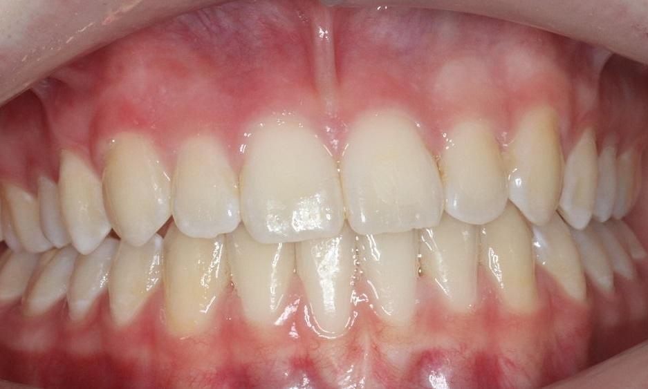
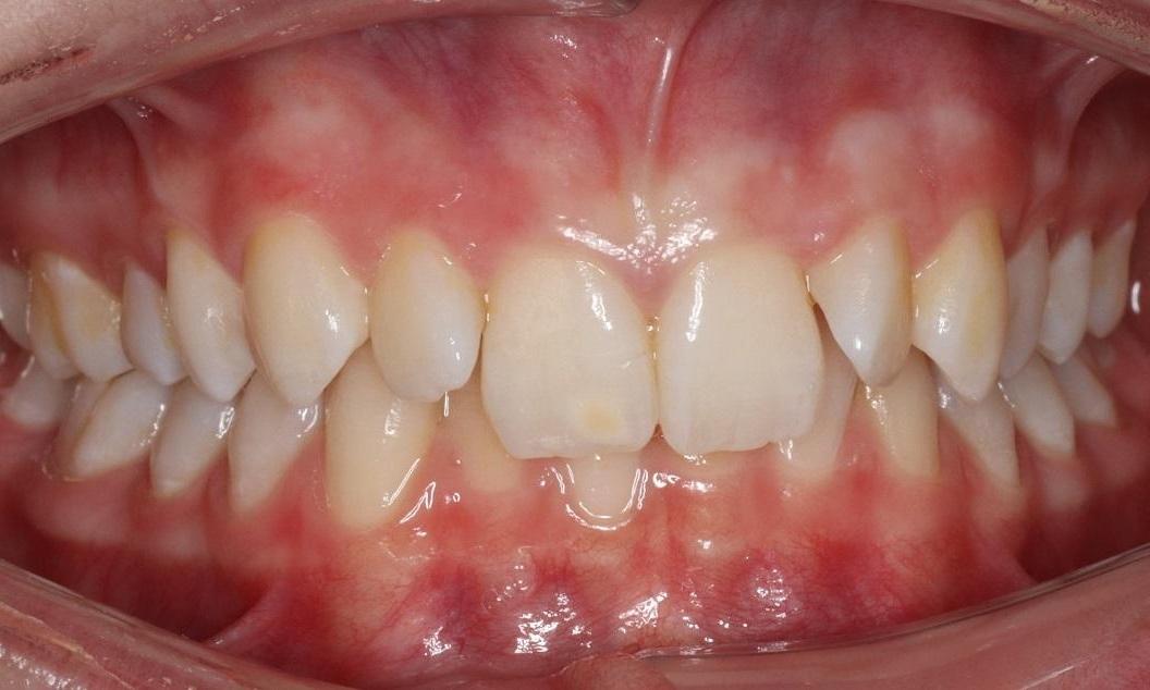
A 13 year old female who was unhappy with the appearance of her front teeth as they were crooked and caused a misalignment of her deep bite. At Markham Street Dental, traditional braces were used to align the teeth and correct her deep bite. This dental treatment took about 12 months from start to finish and the dental patient was thrilled with the results.

Related Services:

Braces/Clear Aligners
Ready to Arrange Your Exam?
Any surgical or invasive procedure carries risks, and we recommend seeking a second opinion from an appropriately qualified health practitioner before proceeding.