Markham Street Dental

Dental Implants Replacing Front Teeth

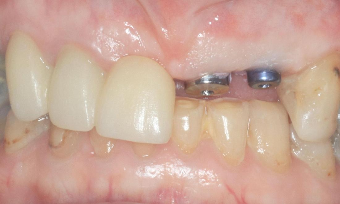
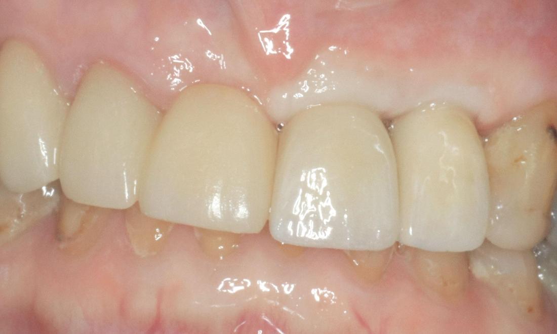
An elderly patient had a dental bridge replacing a missing front tooth for many years. The dental bridge failed as the anchor tooth snapped at gum line resulting in two missing teeth. Two options were discussed i.e. removable denture (plate) or implant-supported teeth.

The patient decided to go with implant-supported teeth. The snapped tooth was removed at the same time placing two dental implants. Three months following dental implant placement, two front teeth were secured individually to dental implants in Armidale, NSW. The total treatment time was 3 months.

Related Services:

Dental Implants
Have a Question for Our Team?
Any surgical or invasive procedure carries risks. Before proceeding, you should seek a second opinion from an appropriately qualified health practitioner.