Should I replace my missing tooth/teeth with a dental implant(s)?
The question that is often asked following tooth extraction is whether it should be replaced. It is highly recommended that a lost tooth/teeth be replaced as soon as possible, and below are the reasons:
1. To prevent overeruption of the opposing tooth/teeth
Overeruption means dropping down of the tooth. This is common with top back teeth following the loss of the bottom one(s). This is a painless process. Slowly, the tooth leaves bone and grows down, thus becoming difficult to clean. Eventually, this leads to decay and gum infection around the tooth that creates pain, leading to extraction. Removal of a back tooth/teeth now will almost lead to loss of opposing tooth/teeth in the future, and this will increase the cost of replacing teeth in the future. Therefore, it is encouraged to replace a lost tooth to maintain bite, alignment, and preserve chewing ability. This will also prevent further loss of teeth down the track. Dental implants are an effective and predictable method of replacing missing teeth.

2. To prevent tipping of adjacent teeth
Teeth in the mouth can be likened to books in a bookshelf tightly packed from one end to the other. Imagine taking one or two books from the middle of the shelf. What happens is the books will now tip or fall. Similarly, removal of one tooth will lead to tipping of others. Also, this creates areas that are hard to clean. Bacteria will collect under the gum, and eventually this dissolves bone, causing gum disease. This also is a painless process until one day the tooth will wobble or start to ache, leading to extraction. Therefore, removal of one tooth will almost lead to loss of the adjacent tooth. Tipping of adjacent teeth following extraction can be prevented by replacing the missing tooth with a dental implant.

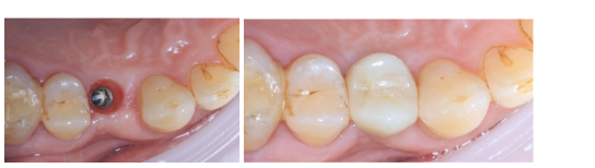
What does a dental implant look like?
A dental implant involves surgical placement of a titanium screw into the jawbone. Once healing has been achieved, a porcelain tooth to match the colour of natural teeth can be made and attached to the implant. This will maintain the bite, prevent tipping and movement of teeth, and overall preserve other teeth.

The picture above shows a tooth that was extracted, and an implant was placed to replace the tooth.